اغلب تشخیص دندان پزشک و متخصص جراحی فک وصورت مبنی بر جراحی دندان، موجب ترس و یا نگرانی مراجعه کنندگان شود. اما باید توجه داشته باشید هدف از جراحی دندان درمان و بهبود شرایط دندان ها و یا در صورت لزوم خارج کردن دندان ها میباشد. و لزوما همراه با درد و عوارض نخواهد بود، در این مطلب از
کلینیک دندان پزشکی دریای نور با ما همراه باشید تا با اطلاع از انواع جراحی دندان، مراحل و شیوه ی جراحی دندان و کاهش درد بعد از جراحی دندان نگرانی شما از جراحی دندان تا حد زیادی کاهش یافته و بهترین درمان را انتخاب نمایید.
جراحی دندان چیست؟
جراحی دندان (Dental Surgery) یکی از درمانهای اصلی، مهم و پرکاربرد در دندان پزشکی است؛ که به روشهای تخصصی ای اطلاق میشود که توسط متخصصان دندانپزشکی جهت حفظ سلامت دهان و دندان انجام میگردد. جراحی دندان شامل تکنیک های دقیق و علمی دندانپزشکی برای رسیدگی به مسائلی مانند پوسیدگی شدید دندان، بیماری پیشرفته لثه، فک های نامرتب و دندان های از دست رفته است. جراحی دندان اغلب به آموزش و تجهیزات پیشرفته نیاز دارند که مراقبت مطلوب از بیمار را تضمین می کند.
در فرایند جراحی دندان گاها، دندانهای از دست رفته را با مواد زیست سازگار جایگزین میکنند که به استخوان فک متصل میشوند و ظاهر و عملکرد مناسب دندان را بازیابی میکنند. جراحی اصلاحی فک که به عنوان جراحی ارتوگناتیک شناخته می شود، به تراز کردن فک ها، بهبود بایت و تقارن صورت کمک می کند. علاوه بر این، مداخلات جراحی مانند جراحی پریودنتال بیماریهای لثه را درمان میکنند که در صورت عدم درمان، میتوانند منجر به از دست دادن دندان و تأثیر بر سلامت کلی شوند. با پرداختن به این مسائل پیچیده از طریق جراحی دندان، بیماران می توانند از کیفیت زندگی بالاتر، افزایش اعتماد به نفس و رفاه طولانی مدت دهان و دندان برخوردار شوند.
تفاوت جراحی دندان و کشیدن دندان:
جراحی دندان معمولا در ذهن عموم و یا در کاربردهای کلینیکی و تعرفه های درمانی به
کشیدن دندان و یا
کشیدن دندان عقل با شرایط پیچیده اطلاق میشود.هم کشیدن دندان و هم جراحی دندان شامل برداشتن دندان و خارج کردن دندان می شود، اما دلایل هر روش و تکنیک های مورد استفاده در فرایند جراحی و کشیدن دندان می تواند متفاوت باشد. کشیدن دندان به طور کلی زمانی انجام می شود که دندان به شدت آسیب دیده یا پوسیده شده باشد که قابل ترمیم نیست و باعث درد، عفونت دندان می شود. دندانهای عقل کاملا رویش یافته نیز اغلب نیاز به کشیدن دارند.
از سوی دیگر، جراحی دندان معمولاً برای موارد پیچیدهتر در نظر گرفته میشود؛ اعم از، دندان هایی با ریشه ها، دسترسی یا موقعیت سخت و پیچیده و یا دندان هایی با عفونت شدید و ... علاوه بر این فک جوش بودن دندان یا انکیلوز دندان، که یک عارضه نادر است (در نتیجه جوش خوردن دندان به استخوان فک ایجاد میشود) نیز نیاز به جراحی دندان دارد. دندان عقل نهفته، دندان های عقل نزدیک به عصب در فک پایین و یا دندان های عقل فک بالا که در نزدیکی سینوس قرار دارند؛ به دلیل شرایط حساس و موقعیت های قرار گیری خاص انها نیاز به جراحی دندان توسط متخصص جراحی فک و صورت وجود دارد.
جراحی دندان چگونه است؟
جراحی دندان با معاینه کامل دندان و بررسی سابقه پزشکی بیمار و سپس معاینه و تهیه عکس گرافی از دندان برای ارزیابی موقعیت دندان و ساختار ریشه شروع می شود. سپس متخصص جراحی فک و صورت از بی حسی موضعی برای بی حس کردن دندان تحت درمان و ناحیه اطراف دندان استفاده می کند و اطمینان حاصل می کند که بیمار در طول جراحی دندان راحت است. در موارد پیچیده تر یا با درخواست فرد استفاده از لیزر دندان پزشکی نیز به بی حسی سریع تر و عمیق کمک خواهد کرد.
سپس متخصص جراحی فک و صورت برشی در بافت لثه ایجاد می کند تا دندان نمایان شود و در صورت لزوم ممکن است بخشی از استخوان نیز برای دسترسی به دندان برداشته شود. سپس دندان به آرامی به جلو و عقب تکان داده می شود تا قبل ازجراحی با دقت از رباط ها و استخوان اطراف آن جدا شود. در برخی موارد، ممکن است برای خراج کردن راحت تر، دندان به بخش هایی تقسیم شود. پس از جراحی دندان، محل تحت درمان به طور کامل تمیز می شود و در صورت نیاز، ممکن است بخیه نیز زده شود.
دندان فک جوش (آنکیلوز دندان) چیست؟
آنکیلوزدندان (Dental Ankylosis) وضعیتی است که در آن دندان به استخوان اطراف فک جوش میخورد. این همجوشی از حرکت طبیعی دندان در حفره جلوگیری می کند و بر توانایی آن برای رویش و عملکرد صحیح آن تأثیر می گذارد. برخلاف دندان سالمی که توسط رباطهای پریودنتال ثابت میشود، دندان انکیلوز مستقیماً به استخوان متصل میشود که منجر به مشکلاتی در تراز بایت، زیبایی و عوارض احتمالی میشود.
انکیلوز دندان می تواند به دلیل اختلال در رشد رباط پریودنتال ایجاد شود که به طور معمول دندان را از استخوان جدا می کند. در برخی موارد، ضربه یا آسیب به دندان در طول رشد آن می تواند منجر به آنکیلوز شود. ژنتیک و برخی شرایط پزشکی نیز می توانند نقش داشته باشند. هنگامی که رباط پریودنتال به درستی تشکیل نمی شود یا آسیب دیده است، دندان با استخوان جوش می خورد و از رویش و حرکت طبیعی آن جلوگیری می کند، و منجر به ایجاد دندان فک جوش میشود.
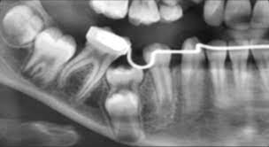
عکس گرافی دندان فک جوش
جراحی آنکیلوز که به عنوان آزادسازی آنکیلوز نیز شناخته می شود، برای رسیدگی به دندان جوش خورده و بازیابی عملکرد و زیبایی مناسب انجام می شود. روش جراحی دندان فک جوش شامل جداسازی دقیق دندان انکیلوز شده از استخوان اطراف است. در طول جراحی دندان فک جوش، جراح و متخصص جراحی فک وصورت برش هایی را در بافت لثه ایجاد می کند تا به ناحیه آسیب دیده دسترسی پیدا کند. سپس با استفاده از ابزار دقیق دندانپزشکی، دندان ذوب شده به آرامی از استخوان جدا می شود. در صورت نیاز، ممکن است از پیوند استخوان یا سایر مواد برای ارتقاء بهبودی مناسب و حمایت از ثبات دندان استفاده شود. سپس ناحیه جراحی برای تسهیل بهبودی بخیه می شود.

بعد از جراحی دندان:
طول دوره نقاهت پس از هر جراحی دندان می تواند بر اساس پیچیدگی درمان، میزان بهبودی فردی و سلامت کلی بیمار متفاوت باشد. مدت زمان بهبود بعد از جراحی دندان و بهبود اولیه معمولاً حدود یک تا دو هفته طول میکشد که در طی آن بیماران ممکن است کمی ناراحتی و تورم را تجربه کنند. با این حال، ادغام کامل ایمپلنت با استخوان ممکن است چندین ماه طول بکشد. مدت زمان نقاهت بعد از جراحی دندان عقل نیز معمولاً حدود یک تا دو هفته طول می کشد و ناراحتی و تورم به تدریج کاهش می یابد.
جراحی ارتوگناتیک فک که شامل تنظیمات اصلاحی فک است، اغلب به یک دوره نقاهت طولانی تری چند هفته ای نیاز دارد. تورم و ناراحتی در مراحل اولیه شایع است، اما این علائم معمولاً با گذشت زمان کاهش می یابد. درخصوص بهبود عوارض بعد از جراحی پریودنتال، زمان بهبودی به وسعت عمل بستگی دارد، اما بیماران می توانند انتظار یک دوره بهبودی یک تا دو هفته ای را داشته باشند. جراحی پیوند استخوان و ریکاوری سینوس لیفت ممکن است شامل چند روز ناراحتی و تورم باشد و پس از آن چندین ماه طول بکشد تا پیوند به طور کامل یکپارچه شود. به خاطر داشته باشید که رعایت دستورالعمل های بعد از عمل، بهداشت دهان و دندان مناسب و شرکت در جلسات بعدی به طور قابل توجهی به بهبود موفقیت آمیز پس از هر جراحی دندان کمک می کند.
مراقبت های بعد از جراحی دندان:
مراقبت پس از جراحی دندان برای اطمینان از بهبودی مطلوب و به حداقل رساندن عوارض بسیار مهم است. پس از جراحی، احساس ناراحتی، تورم و احتمالاً خونریزی جزئی مانند هر درمان دیگری معمول است. مدیریت درد طبق تجویز دندانپزشک یا متخصص جراحی فک و صورت یا متخصص جراحی لثه، برای راحت ماندن ضروری است.
قرار دادن کمپرس یخ در قسمت بیرونی دهان در فواصل زمانی می تواند به کاهش تورم کمک کند. در رژیم غذایی خود محتاط باشید و غذاهای نرم و خنک را انتخاب کنید که محل جراحی را مختل نکند. حفظ بهداشت دهان و دندان نیز بسیار مهم است، اما از مسواک زدن یا نخ دندان کشیدن ناحیه جراحی در روز اول یا طبق دستور دندانپزشک خودداری کنید. شستشوی آرام دهان با آب نمک گرم چند بار در روز می تواند به تمیز نگه داشتن ناحیه کمک کند. از سیگار کشیدن، استفاده از نی، یا انجام فعالیتهای بدنی شدید در روزهای اولیه پس از جراحی دندان خودداری کنید، زیرا این موارد میتوانند مانع از بهبودی شوند. برای نظارت بر پیشرفت و رسیدگی به هر گونه نگرانی، در تمام قرارهای بعدی برنامه ریزی شده شرکت کنید.
پرسش و پاسخ درمورد جراحی دندان:
- چند روز بعد از جراحی دندان عقل میتوان غذا خورد؟
بعد از جراحی دندان میتوان طبق روال غذا و نوشیدنی مصرف کرد، اما توجه داشته باشید دستورالعمل های غذایی بعد از جراحی دندان را رعایت کنید. غذاهای نرم اغلب در ابتدا و چندروز بعد از جراحی برای جلوگیری از ایجاد اختلال در محل جراحی توصیه می شود. از مصرف و نوشیدن غذاها و نوشیدنی های گرم اجتناب نمایید. لازم به ذکر است، بسته به روش جراحی دندان ممکن است لازم باشد برای اطمینان از بهبودی مناسب و کاهش خطروعوارض احتمالی، از فعالیت های بدنی شدید نیز برای چند روز تا چند هفته خودداری کنید.
- آیا جراحی دندان می تواند کجی دندان های من را برطرف کند؟
جراحی دندان مانند جراحی ارتوگناتیک می تواند بایت شدید و ناهماهنگی فک را اصلاح کند. درمانهای ارتودنسی سنتی مانند بریسها اغلب همراه با جراحی دندان برای دستیابی به نتایج مطلوب استفاده میشوند. که نیاز به تجویز متخصص ارتودنسی دارد.

- آیا جراحی دندان تحت پوشش بیمه است؟
پوشش هر بیمه متفاوت است. برخی از جراحی های دندان، به ویژه آنهایی که از نظر پزشکی ضروری تشخیص داده می شوند، ممکن است تا حدی تحت پوشش قرار گیرند. توصیه می شود قبل از انجام هر اقدامی در خصوص درمان های دندانپزشکی با ارائه دهنده بیمه خود و کلینیک دندان پزشکی مشورت کنید.
سخن آخر:
جراحی دندان نقشی اساسی در رسیدگی به مسائل پیچیده دندانی و دستیابی به سلامت و زیبایی دهان و دندان دارد. از ایمپلنت های دندانی گرفته تا جراحی فک اصلاحی، این روش ها برای بهبود عملکرد و ظاهر دهان، دندان و فک شما طراحی شده اند. با درک فرآیند جراحی دندان، آمادگی کافی و پیروی مجدانه دستورالعمل های مراقبت پس از جراحی، بیماران می توانند نتایج موفقیت آمیزی را تجربه کنند و از مزایای بهبود سلامت دهان و دندان لذت ببرند.
سارا خرمی
1401/01/31من دندان اخر فک پایینم قسمت چپ نهفته است میتوانم با جراحی دندان را به گونه ای خارج کنم که قابل استفاده باشد؟
با عرض سلام و ادب خدمت شما؛ اگر منظور شما از دندان اخر دندان عقل میباشد، باید دندان عقل شما با جراحی خارج شود. اما اگر دندانی به جز دندان عقل شما نهفته باشد، باید با عکس گرافی به متخصص ارتودنسی و پری(لثه) مراجعه کرده تا شرایط دندان شما بررسی گردد، اگر این امکام وجود داشته باشد تا با درمان ارتودنسی دندان نهفته را درمان کرد، میتواندی ارتودنسی انجام داده در غیر این صورت جراحی و خارج کردن دندان و سپس ایمپلنت گزینه های بعدی شما میباشد. جهت ارسال عکس و ویزت مجازی و یا تعیین وقت درمان و مشاوره به واتس آپ کلینیک پیام داده و یا با شماره های درجه شده در قسمت تماس با ما مراجعه نمایید.